Жировая эмболия — серьезное состояние, возникающее при попадании жировых капель в кровоток, что может привести к осложнениям и угрожать жизни. В статье рассмотрим основные симптомы, методы диагностики и лечения, а также прогноз и последствия этого заболевания. Знание этих аспектов поможет читателям распознать опасные признаки и обратиться за медицинской помощью, что повысит шансы на благоприятный исход.
Механизм развития
Формирование жировой эмболии происходит под воздействием различных факторов, которые могут действовать как по отдельности, так и в сочетании. Понимание этих механизмов имеет решающее значение для выбора подходящей стратегии лечения и последующего ухода за пациентом.
Первый аспект заключается в механическом отделении жировых частиц, которое часто происходит при повреждении сосудов, особенно при множественных переломах. В таких случаях жиры попадают в кровоток и перемещаются по сосудам вместе с кровью.
Этот процесс часто сопровождается повреждением артерий, вен и капилляров, что само по себе представляет серьезную угрозу и может привести к быстрому летальному исходу.
По этой причине прогноз обычно оказывается неблагоприятным. Необходимо также учитывать риск развития воздушной эмболии, особенно при открытых травмах.
Второй сценарий связан с образованием тромбов. Увеличение содержания жировых веществ в жидкой ткани может привести к образованию крупных жировых структур, которые блокируют артерии и капилляры, нарушая нормальное поступление кислорода к тканям.
Третий механизм развития эмболии связан с биохимическими изменениями в концентрации жировых веществ в крови, возникающими в ответ на колебания уровня определенных гормонов. Обычно это происходит на фоне серьезных состояний, травм или шока, как реакция организма на необходимость поддержания питания клеток и тканей.
Таким образом, жировая эмболия возникает в результате нарушения биохимического равновесия или механического повреждения тканей, в зависимости от первичного диагноза.
Без наличия провоцирующего фактора такое нарушение не происходит, хотя теоретически это возможно, но в крайне редких случаях (примерно 0,5% от общего числа зарегистрированных случаев).
Мнение врачей:
Жировая эмболия представляет собой серьезное состояние, вызванное закупоркой сосудов жировыми частицами. Симптомы могут варьироваться от кратковременного до постоянного ухудшения дыхания, болей в груди, учащенного пульса, снижения артериального давления и синюшности кожи. Лечение жировой эмболии требует срочной медицинской помощи, включая кислородотерапию, инфузии жидкости и препараты для улучшения кровообращения. Прогноз зависит от степени поражения органов и скорости начала лечения. Врачи подчеркивают, что задержка в оказании медицинской помощи может привести к серьезным осложнениям, таким как инфаркт легких или сердца, а также повреждение других органов. Последствия жировой эмболии могут быть весьма серьезными, поэтому важно немедленно обратиться к специалистам при подозрении на данное состояние.

Классификация
Жировая эмболия подразделяется на два основных критерия. Первый касается местоположения патологического процесса.
Исходя из этого фактора, выделяются следующие виды заболевания:
- Жировая эмболия легких встречается в 85% случаев, что делает ее ключевой и наиболее распространенной формой. Эта патология характеризуется закупоркой артерий и капилляров малого круга кровообращения.
Результатом также является тяжелая нарушенная функция дыхания и смерть пациента в ближайшей перспективе.
В зависимости от типа нарушения, время выживания может быть ограничено минутами или часами, если повезет.
- Смешанный тип. Второй по частоте встречаемости. Его суть заключается в нарушении работы сосудов по всему организму одновременно. Под угрозой оказываются головной мозг, печень, почки, сердце и легкие.
Шансы на выживание в таких случаях минимальны, вероятность благоприятного исхода не превышает 3-5%, немного увеличивают шансы своевременные первая помощь и реанимационные меры.
- Церебральный тип. Как следует из названия, затрагивает только головной мозг. Это приводит к обширному кровоизлиянию в нервные ткани, образованию множества мелких кровоизлияний. Результатом является тяжелая инвалидность или смерть пациента. Требуется немедленная помощь.
Классификация используется для определения местоположения и тяжести патологического процесса, что играет важную роль в практике.
Второй критерий для классификации жировой эмболии — агрессивность и характер развития нарушения.
Соответственно, выделяются три вида нарушений:
- Стремительный. Развивается за несколько минут. Обычно возникает в экстренных ситуациях или при шоке. Наблюдается массовое поражение сосудов. Проявляется смешанным типом эмболии, смерть наступает в течение минут. Ни пациент, ни окружающие, включая врачей, не успевают среагировать.
- Острый вид. Развивается после травмы. В течение 2-3 часов, иногда быстрее. Сопровождается типичными симптомами, но протекает менее агрессивно, чем предыдущий. Имеет более благоприятный прогноз на полное выздоровление.
- Подострый тип. Проявляется в течение 6-20 часов, примерно. Есть шансы на выявление и успешное лечение патологии. Этот вид считается менее тяжелым, но требует внимания. Без лечения смерть практически неизбежна.
Обе классификации имеют равное значение. Без определения местоположения и характера развития невозможно назначить правильное лечение.
К сожалению, врачам часто не хватает времени на инструментальную или лабораторную диагностику. Поэтому первая помощь оказывается на основе общих экстренных исследований и приблизительного понимания сути патологического процесса.
Это требует высокой квалификации и опыта от врача. После стабилизации состояния пациента возможно проведение более точной диагностики.
Интересные факты
Вот несколько интересных фактов о жировой эмболии:
-
Механизм возникновения: Жировая эмболия чаще всего возникает после травм, особенно переломов длинных костей, когда жировая ткань из костного мозга попадает в кровоток. Это может также произойти после хирургических вмешательств или в результате некоторых заболеваний, таких как панкреатит.
-
Симптоматика: Симптомы жировой эмболии могут проявляться через 1-3 дня после травмы и включают одышку, спутанность сознания, кожные высыпания и петехии. Эти симптомы могут быть очень разнообразными и иногда напоминают другие состояния, что затрудняет диагностику.
-
Прогноз и последствия: Прогноз при жировой эмболии зависит от тяжести состояния и быстроты оказания медицинской помощи. В легких случаях пациенты могут полностью восстановиться, однако в тяжелых случаях возможны серьезные осложнения, такие как острое респираторное дистресс-синдром (ОРДС) или даже летальный исход. Ранняя диагностика и лечение, включая поддерживающую терапию, могут значительно улучшить исход.
Симптомы
Симптоматика и проявления заболевания могут варьироваться в зависимости от того, где именно произошло нарушение. Поэтому крайне важно анализировать отклонения, принимая во внимание их локализацию.

| Аспект | Описание | Важные замечания |
|---|---|---|
| Определение | Жировая эмболия (ЖЭ) – это состояние, при котором капли жира попадают в кровоток и закупоривают мелкие сосуды, чаще всего в легких, головном мозге и коже. | Чаще всего возникает после травм длинных трубчатых костей (переломы бедра, голени), таза, а также при обширных ожогах, панкреатите, липосакции. |
| Симптомы | Ранние (24-72 часа после травмы): одышка, тахикардия, гипоксемия, петехиальная сыпь (на груди, шее, подмышках), лихорадка. Поздние: неврологические нарушения (спутанность сознание, судороги, кома), анемия, тромбоцитопения, почечная недостаточность. | Симптомы могут быть неспецифичными, что затрудняет диагностику. Классическая триада: дыхательная недостаточность, неврологические нарушения, петехиальная сыпь. |
| Диагностика | Клиническая картина, лабораторные анализы (гипоксемия, анемия, тромбоцитопения, повышение уровня липазы), рентген грудной клетки (диффузные инфильтраты), КТ легких, МРТ головного мозга. | Нет специфического лабораторного теста. Диагноз ставится на основании совокупности клинических и инструментальных данных. |
| Лечение | Поддерживающая терапия: кислородотерапия, ИВЛ при необходимости, поддержание гемодинамики, коррекция анемии и тромбоцитопении. Специфическая терапия: кортикостероиды (спорно), гепарин (профилактика тромбозов), альбумин (связывание жирных кислот). | Основное лечение – поддерживающее. Профилактика ЖЭ (ранняя стабилизация переломов, адекватное обезболивание) имеет решающее значение. |
| Прогноз | Зависит от тяжести состояния, своевременности диагностики и лечения. Легкие формы могут разрешиться без последствий. Тяжелые формы могут привести к летальному исходу (до 10-20%). | Неврологические нарушения могут быть стойкими. Полное восстановление возможно, но не гарантировано. |
| Возможные последствия | Острый респираторный дистресс-синдром (ОРДС), стойкие неврологические нарушения (когнитивные расстройства, эпилепсия), почечная недостаточность, полиорганная недостаточность, летальный исход. | Долгосрочные последствия могут значительно снижать качество жизни пациента. |
Опыт других людей
Жировая эмболия – это серьезное состояние, вызванное закупоркой сосудов мелкими частицами жира. Люди, перенесшие это, описывают симптомы как внезапное ухудшение состояния, боль в груди, одышку и быструю утомляемость. Лечение включает стабилизацию дыхания и сердечной деятельности, а также удаление жировых частиц из сосудов. Прогноз зависит от времени начала лечения: чем раньше помощь, тем выше шансы на выздоровление. Возможные последствия включают инфаркт, инсульт или даже смерть. Важно обращаться за медицинской помощью при первых признаках, чтобы минимизировать риски и обеспечить наилучший прогноз.
Церебральный тип
Состояние сопровождается множественными очагами кровоизлияний, а его симптомы могут напоминать инсульт.
Примерный список проявлений:
- Головная боль. Может быть средней или высокой интенсивности, давящей и тупой. Для пациента она становится постоянной и иногда невыносимой.
- Тошнота и рвота. Эти симптомы встречаются редко и являются рефлекторной реакцией на ишемию мозговых структур, поэтому не приносят облегчения после рвоты.
- Нарушение сознания, возможны обмороки. Обморочные состояния считаются неблагоприятным прогностическим признаком, указывающим на серьезные нарушения в работе мозга. Они могут быть как единичными, так и множественными, в зависимости от тяжести состояния.
- Часто такие обморочные эпизоды заканчиваются угнетением центральной нервной системы и глубоким коматозным состоянием. Восстановление пациента из этого состояния практически невозможно.
- Психические расстройства. Они могут проявляться в виде бреда и галлюцинаций, обычно зрительных и слуховых (голоса, которые слышны не внутри головы, а снаружи).
- Нарушение рефлексов, включая глазодвигательные. Может возникать нистагм — непроизвольное колебание зрачков влево и вправо, происходящее без усилий со стороны пациента и вне его контроля.
- Судороги. Обычно они имеют тонический характер и охватывают все мышцы одновременно, напоминая эпилептические приступы.
- Парезы и параличи. Сопровождаются частичной или полной утратой чувствительности и двигательной активности.
Неврологические проявления усиливаются по мере прогрессирования заболевания и отмирания тканей, сопровождаясь другими симптомами. Они оказывают влияние на органы чувств, мышление, память и другие аспекты функционирования организма.

Легочная форма
Сопровождается следующими признаками:
- Интенсивная боль в области грудной клетки. Ощущается давление, колющая или стреляющая боль. Эти симптомы напоминают стенокардию, однако их причина кроется вне сердца, что делает их отличительными от других видов болей.
- Ощущение удушья. Могут возникнуть проблемы с дыханием. В критических случаях дыхательная функция полностью прекращается, что может привести к летальному исходу. Врачи часто подключают пациентов к аппарату искусственной вентиляции легких в экстренных ситуациях. После этого восстанавливается нормальное дыхание, но это занимает время.
- Учащенное сердцебиение. Тахикардия.
- При наличии жировой эмболии возможно появление продуктивного кашля с отхождением пенистой розоватой мокроты. Могут наблюдаться выделения ярко-красной крови.
Легочная форма считается наиболее распространенной и характеризуется высокой смертностью, даже при своевременном обращении в стационар и начале лечения. Исход зависит не только от медицинского вмешательства, но и от индивидуальных особенностей организма каждого человека.
Смешанный тип
Данная ситуация считается наиболее опасной и неблагоприятной с точки зрения прогноза. Все ранее упомянутые симптомы проявляются с такой же интенсивностью.
Дополнительно можно наблюдать множество кровоизлияний на кожных покровах и слизистых оболочках, включая полость рта, половые органы и глазные яблоки.
Температура тела может повышаться до 39 градусов и выше. Также могут возникать проблемы с мочеиспусканием: задержка, недостаточный объем мочи и боли в области поясницы.
Клиническая картина зависит от степени тяжести заболевания и его локализации. Обычно симптомы являются неспецифичными, что затрудняет их отличия от признаков других заболеваний и неотложных состояний при первом осмотре.
Сложность ситуации усугубляется тем, что жировая эмболия не является самостоятельным заболеванием, а всегда возникает как следствие других неотложных состояний. Поэтому симптомы могут накладываться друг на друга, и определить, где заканчивается одно состояние и начинается другое, крайне сложно.
Особенно учитывая, что времени на диагностику может не быть вовсе или оно будет крайне ограничено, так как задержки в этом процессе снижают шансы на выживание.
Причины
Причины возникновения данного расстройства многообразны. В основном это группа критических, опасных состояний.
Среди них:
- Различные травмы. Обычно это переломы, при которых нарушается целостность жировой ткани. Особенно опасны осколочные повреждения, затрагивающие окружающие ткани. Статистика показывает, что вероятность таких осложнений составляет примерно 15-20%. Поэтому не все подвержены этому расстройству.
- Травматический шок. Это критическое состояние, при котором организм мобилизует последние защитные ресурсы. Если не оказать помощь пациенту, вероятность летального исхода почти 100%.
В результате развиваются быстрые биохимические процессы, которые приводят к свертыванию крови, образованию жировых сгустков, а также возможному тромбозу. Наиболее опасны анафилактический, кардиогенный и травматический виды шока.
- Клиническая смерть. Приводит к схожим последствиям.
- Реже эмболия жиров может вызвать цирроз печени в терминальной стадии, когда организм уже не способен регулировать уровень жиров.
Понимание факторов развития необходимо для понимания механизма прогрессирования. Без этого невозможно обеспечить эффективное лечение. Этот вопрос также важен для профилактической медицины.
Диагностика
Неотложные действия по выявлению жировой эмболии крайне важны. Врачам обычно требуется около 20 минут для оценки состояния пациента.
В этот период необходимо ответить на множество вопросов, что представляет собой сложную задачу даже для опытного специалиста.
Оцениваются объективные параметры: артериальное давление, частота сердечных сокращений и дыхательных движений, проверяются рефлексы, а также проводится визуальный осмотр кожи и слизистых оболочек. Обычно решение принимается быстро, и начинаются экстренные меры.
Если состояние пациента улучшается или наблюдаются менее серьезные отклонения, появляется возможность для дополнительных действий.
При срочном и более «спокойном» обследовании применяется специальная шкала, которая оценивает каждый показатель в баллах.
| Тип нарушения | Баллы |
|---|---|
| Отклонения в дыхании, проверяемые стандартными методами. | 20 |
| Тахикардия (более 90 ударов в минуту), измеряемая традиционным способом или с помощью автоматического тонометра, но с меньшей точностью. | 20 |
| Нарушения сознания. | 20 |
| Фебрильная температура (выше 38 градусов). | 10 |
| Олигурия, снижение объема мочи в сутки. | 5 |
| Нарушения коагуляции крови, низкое свертывание, высокая концентрация цилиндрического эпителия в моче. | по 5 баллов за каждый фактор. |
| Низкий уровень СОЭ — 1 балл. | 1 |
После этого производится подсчет. Если сумма менее 10 — жировой эмболии нет. 10-20 — возможно скрытая форма. Более 20 — выраженный патологический процесс.
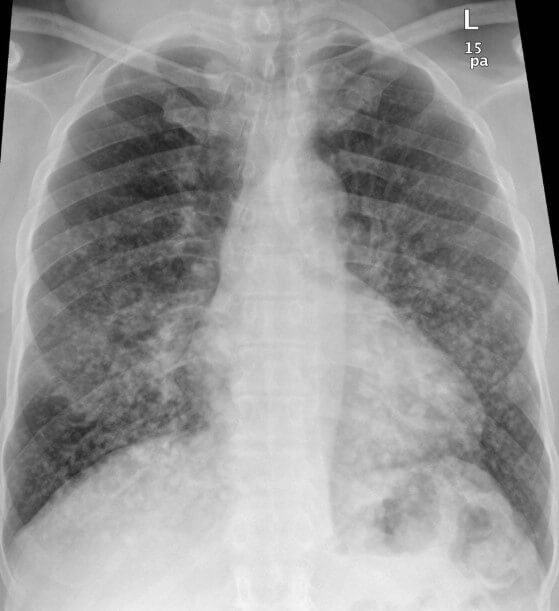
Для подтверждения диагноза выполняется рентгенография органов грудной клетки, которая позволяет выявить засветы, указывающие на наличие жировых структур в сосудах малого круга.
Также проводятся анализы мочи и крови, в которых обнаруживаются липидные фракции. Уровень гемоглобина, напротив, снижается.
При возможности осматривается сетчатка, которая под воздействием нарушений изменяется, сосуды стенозируются, и визуально можно увидеть скопление жировых соединений.
Основная цель диагностики — как можно быстрее выявить саму эмболию и причины ее возникновения.
Лечение
Лечение основывается на применении лекарственных препаратов, направленных на уменьшение симптомов и восстановление нормальной функции организма. Кроме того, необходимо устранить причину возникновения проблемы, а не только ее проявления.
Список препаратов, которые могут быть применены:
- Статины. Используются для снижения уровня жира в крови. Примеры включают Аторис, Липостабил и другие.
- Препараты для стимуляции выведения желчи. Например, Дехолин.
- Глюкокортикоиды. Такие как Преднизолон или Дексаметазон для системного лечения.
- При необходимости могут быть назначены антикоагулянты, например, Гепарин и его аналоги.
- Также могут применяться антиоксидантные витамины, такие как витамин C и другие.
Это лишь часть возможных препаратов. Оперативное вмешательство может потребоваться для исправления осложнений, восстановления целостности тканей. В остальных случаях оно может быть нецелесообразным.
После успешного лечения начинается период реабилитации, который может продолжаться от 3 до 6 месяцев.
Важно ограничить физическую активность, прекратить курение, употребление алкоголя, посещение бань, и избегать резких перепадов температуры.
После завершения реабилитации нет строгих ограничений, поскольку патология обусловлена специфическими причинами и не зависит от образа жизни.
Лечение жировой эмболии должно проводиться под наблюдением кардиолога, сосудистого хирурга и других специалистов, если необходимо.
Прогноз
Этот вопрос вызывает множество споров. Вероятность смертельного исхода в данной ситуации невелика и составляет от 5 до 9%, возможно, немного выше.
Ключевая проблема заключается в первопричине, которая приводит к нарушениям. Обычно это серьезные заболевания, которые сами по себе представляют значительную опасность. Например, это может быть шок или клиническая смерть.
Поэтому целесообразно рассматривать перспективы с учетом фактора, вызывающего нарушения. В этом контексте существует гораздо больше вариантов для анализа.
Возможные последствия
Среди осложнений:
- Возможно острое нарушение кровообращения в тканях и органах. В лучшем случае это может привести к небольшому дефициту и дисфункции почек, головного мозга, печени или сердца. В худшем случае это может привести к некрозу тканей и развитию критического состояния, что может привести к инвалидности.
- Часто это приводит к смерти пациента из-за несовместимых с жизнью изменений в организме.
По своему характеру, эти нарушения могут напоминать симптомы инсульта, инфаркта и других острых состояний, но с более серьезным течением.
В заключение
Эмболия, вызванная жировыми частицами, является редким, но серьезным осложнением, которое может возникнуть вследствие травм, шока, цирроза печени и других заболеваний.
Данное состояние проявляется ярко выраженными симптомами, которые негативно сказываются как на общем состоянии пациента, так и на перспективах его выздоровления.
Для лечения требуется срочная медицинская помощь, и оно осуществляется исключительно в условиях реанимационного отделения больницы. Оперативная транспортировка пациента значительно увеличивает вероятность успешного восстановления.
Профилактика жировой эмболии
является важным аспектом в медицинской практике, особенно для пациентов, находящихся в группе риска. Основные меры профилактики направлены на предотвращение травм, которые могут привести к высвобождению жировых капель в кровоток, а также на снижение вероятности развития осложнений после хирургических вмешательств.
Одним из ключевых направлений профилактики является правильное ведение пациентов с травмами, особенно при переломах длинных костей. В таких случаях важно обеспечить адекватную иммобилизацию и, при необходимости, оперативное вмешательство, чтобы минимизировать риск жировой эмболии. Хирурги должны быть особенно внимательны при проведении операций на костях и мягких тканях, используя методы, которые снижают вероятность повреждения жировой ткани.
Кроме того, следует учитывать факторы, способствующие развитию жировой эмболии, такие как ожирение, наличие заболеваний, связанных с нарушением обмена веществ, и предшествующие операции. Важно проводить тщательную предоперационную оценку состояния здоровья пациента, чтобы выявить возможные риски и принять соответствующие меры.
В случае плановых операций рекомендуется использовать менее инвазивные методы, которые снижают вероятность травмы жировой ткани. Например, при проведении артроскопии или других минимально инвазивных вмешательств можно значительно уменьшить риск возникновения жировой эмболии.
Также важным аспектом профилактики является контроль за состоянием пациентов в послеоперационный период. Необходимо внимательно следить за симптомами, которые могут указывать на развитие жировой эмболии, такими как одышка, изменения в сознании и кожные проявления. Раннее выявление и лечение этих симптомов могут значительно улучшить прогноз и снизить риск серьезных последствий.
Наконец, обучение медицинского персонала и информирование пациентов о рисках, связанных с жировой эмболией, также играют важную роль в профилактике. Знание о симптомах и методах предотвращения жировой эмболии может помочь как врачам, так и пациентам своевременно реагировать на потенциальные угрозы.
Вопрос-ответ
Какие симптомы жировой эмболии?
Симптомы жировой эмболии могут включать одышку, кашель, боль в груди, спутанность сознания, кожные высыпания (петехии), а также повышение температуры и тахикардию. Эти проявления обычно возникают через 1-3 дня после травмы или хирургического вмешательства, связанного с повреждением жировой ткани.
Что такое жировая эмболия?
Жировая эмболия — эмболия каплями жира. Наиболее опасна жировая эмболия, возникающая при травмах диафизов трубчатых костей.
Как лечат жировую эмболию?
Лечение жировой эмболии включает специфические и неспецифические мероприятия. Дезэмульгаторы жира в крови: к этим лекарственным средствам относят липостабил, дехолин и эссенциале. Действие этих препаратов направлено на восстановление растворения дезэмульгированного жира в крови.
Советы
СОВЕТ №1
Обратите внимание на симптомы. Жировая эмболия может проявляться различными симптомами, такими как одышка, кожные высыпания или изменения в сознании. Если вы заметили у себя или у близких такие признаки после травмы или хирургического вмешательства, немедленно обратитесь за медицинской помощью.
СОВЕТ №2
Следите за состоянием здоровья после операций. Если вам предстоит операция, обсудите с врачом риски жировой эмболии и меры предосторожности, которые могут быть предприняты для их минимизации. Это может включать использование специальных техник и препаратов.
СОВЕТ №3
Не игнорируйте профилактику. Если вы находитесь в группе риска (например, после травм или операций на костях), соблюдайте рекомендации врачей по реабилитации и следите за своим состоянием, чтобы предотвратить развитие осложнений.
СОВЕТ №4
Изучите информацию о лечении. Если у вас диагностирована жировая эмболия, важно знать о возможных методах лечения, включая медикаментозную терапию и поддерживающие процедуры. Обсудите с врачом все доступные варианты и выберите наиболее подходящий для вашего случая.



