Кашель — защитный рефлекс, помогающий организму избавиться от раздражителей в дыхательных путях. Затяжной кашель может указывать на серьезные заболевания. В статье рассмотрим причины длительного кашля у взрослых и предложим рекомендации по его лечению и облегчению состояния. Понимание природы кашля и своевременные действия могут улучшить качество жизни и предотвратить осложнения.
Причины сухого не проходящего кашля
Сухой или непродуктивный кашель зачастую указывает на наличие патологий. Вопреки распространенному мнению, кашель, продолжающийся на протяжении нескольких недель или даже месяцев, может быть вызван не только заболеваниями легких и бронхов. Какие же недуги могут стать причиной этого симптома?
Мнение специалистов:
Причины неэффективного лечения кашля у взрослых могут быть весьма разнообразными. Врачи выделяют такие факторы, как курение, аллергические реакции, вирусные инфекции, хронические заболевания органов дыхания или даже неправильно подобранная терапия. Крайне важно провести дополнительные исследования для выявления истинной причины кашля. Пациенту следует строго придерживаться рекомендаций врача, принимать назначенные медикаменты, отказаться от курения и поддерживать оптимальную влажность в помещении. Если улучшения не наблюдается, необходимо вновь обратиться к врачу для пересмотра лечения.

Кашель у взрослого может не проходить по различным причинам, и мнение экспертов в этой области подчеркивает важность комплексного подхода к диагностике и лечению. Часто причиной затяжного кашля становятся хронические заболевания, такие как бронхит или астма, а также аллергические реакции. В некоторых случаях кашель может быть следствием инфекций, которые требуют специфического лечения. Эксперты рекомендуют пациентам не игнорировать этот симптом, особенно если он сопровождается другими тревожными признаками, такими как высокая температура или одышка. Важно обратиться к врачу для проведения необходимых исследований и получения рекомендаций. Самолечение может усугубить ситуацию, поэтому лучше довериться специалистам, которые помогут определить точную причину кашля и назначить адекватное лечение.
Гипертиреоз с зобом
Зоб представляет собой увеличение щитовидной железы, вызванное различными внешними и внутренними факторами.
При этом возникающий кашель обусловлен сдавливанием трахеи и бронхов увеличенным эндокринным органом.
Излишнее давление приводит к раздражению органов нижних дыхательных путей.
Это приводит к появлению интенсивного рефлекса, который не пройдет без хирургического вмешательства.
При этом отсутствие отхаркивания не характерно и никогда не наблюдается. Выделение экссудата не свидетельствует в пользу заболевания щитовидной железы.
Интересные факты
Вот несколько интересных фактов о кашле у взрослых и о том, что с ним делать:
-
Разнообразие причин: Кашель может быть вызван множеством факторов, включая инфекции (например, простуда или грипп), аллергии, хронические заболевания (такие как астма или ХОБЛ), а также раздражение от курения или загрязненного воздуха. Понимание причины кашля является ключевым для его эффективного лечения.
-
Кашель как защитный рефлекс: Кашель — это естественный защитный механизм организма, который помогает очистить дыхательные пути от слизи, пыли и других раздражителей. Однако, если кашель продолжается более 8 недель, он может стать хроническим и требовать медицинского вмешательства.
-
Методы облегчения: Для облегчения кашля взрослым рекомендуется пить много жидкости, использовать увлажнители воздуха, а также применять средства, которые помогают разжижать слизь (например, муколитики). Важно также избегать раздражителей, таких как табачный дым и сильные запахи. Если кашель не проходит, стоит обратиться к врачу для диагностики и назначения соответствующего лечения.
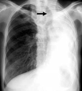
Плеврит
Воспаление плевры представляет собой воспалительный процесс, который затрагивает наружное покрытие легких. Плевра — это тонкая мембрана, окружающая бронхолегочные структуры и выполняющая защитные функции.
Плеврит обычно не возникает как самостоятельное заболевание, а является следствием других патологий. Чаще всего он ассоциируется с воспалительными процессами в легких, бронхах или трахее, особенно при распространении инфекции на нижние дыхательные пути.
Симптоматика данного заболевания включает в себя неспецифические проявления, такие как сильный, болезненный кашель без выделения мокроты, который может продолжаться на протяжении нескольких месяцев, а также боль в грудной клетке и другие сопутствующие симптомы.

| Причина длительного кашля | Что делать пациенту | Когда обратиться к врачу |
|---|---|---|
| Недолеченная ОРВИ/грипп | Продолжать обильное питье, увлажнять воздух, соблюдать постельный режим. Принимать муколитики/отхаркивающие средства (по назначению врача). | Если кашель не проходит более 2-3 недель, усиливается, сопровождается высокой температурой, одышкой, болью в груди. |
| Аллергический кашель | Исключить контакт с аллергеном (пыль, пыльца, шерсть животных, бытовая химия). Принимать антигистаминные препараты (по назначению врача). | Если кашель не купируется антигистаминными, сопровождается одышкой, хрипами, отеком. |
| Бронхиальная астма | Следовать плану лечения, назначенному пульмонологом. Всегда иметь при себе ингалятор «скорой помощи». | При учащении приступов, неэффективности обычных доз ингалятора, появлении одышки в покое. |
| Хронический бронхит | Отказаться от курения. Избегать воздействия раздражающих факторов (пыль, дым). Регулярно выполнять дыхательную гимнастику. | При обострении (усиление кашля, увеличение количества мокроты, изменение ее цвета), появлении одышки. |
| Гастроэзофагеальная рефлюксная болезнь (ГЭРБ) | Избегать переедания, жирной, острой пищи. Не ложиться сразу после еды. Поднять изголовье кровати. Принимать антациды/ингибиторы протонной помпы (по назначению врача). | Если кашель не проходит на фоне диеты и приема препаратов, сопровождается изжогой, болью в груди, затруднением глотания. |
| Побочный эффект некоторых лекарств (например, ингибиторы АПФ) | Проконсультироваться с врачом о возможности замены препарата. | При появлении кашля после начала приема нового препарата. |
| Курение | Полностью отказаться от курения. | Если кашель усиливается, меняет характер, появляется одышка, кровохарканье. |
| Постназальный затек (стекание слизи по задней стенке глотки) | Промывать нос солевыми растворами. Использовать сосудосуживающие капли (не более 5-7 дней). | Если кашель не проходит, сопровождается болью в горле, гнойными выделениями из носа. |
| Пневмония | Строго следовать назначениям врача (антибиотики, муколитики, жаропонижающие). Соблюдать постельный режим. | При ухудшении состояния, усилении одышки, боли в груди, неэффективности лечения. |
| Туберкулез | Немедленно обратиться к фтизиатру для диагностики и лечения. | При длительном кашле (более 3 недель), потере веса, ночной потливости, субфебрильной температуре. |
| Онкологические заболевания легких | Немедленно обратиться к онкологу для диагностики. | При длительном, упорном кашле, кровохарканье, потере веса, одышке, боли в груди. |
Опыт других людей
Почему не проходит кашель у взрослого – вопрос, который беспокоит многих. Люди часто делятся своим опытом и советами по этому поводу. Одни считают, что причина в слабом иммунитете, другие утверждают, что это следствие стресса или неправильного лечения. Есть те, кто рекомендует обратиться к врачу и пройти полноценное обследование. Некоторые предпочитают народные методы, например, пить теплое молоко с медом или делать ингаляции. Важно помнить, что каждый организм индивидуален, и то, что помогло одному, может быть неэффективным для другого. Поэтому в случае, если кашель не проходит длительное время, необходимо обратиться к специалисту для профессиональной консультации и назначения соответствующего лечения.
Риниты, синуситы и иные заболевания верхних дыхательных путей
Удивительно, но кашель может возникать даже при воспалении носовых проходов и носоглотки. Это связано с тем, что слизь и экссудат, активно выделяющиеся во время насморка, стекают в нижние дыхательные пути.
Далее запускается привычный механизм. Мерцательный эпителий и его реснички воспринимают слизь и экссудат как инородные вещества, которые необходимо удалить из носовых ходов. Это приводит к возникновению сильного кашлевого рефлекса.
При этом другие симптомы, как правило, отсутствуют. Это является отличительной чертой именно назального кашля.

Коклюш
Детское заболевание. Взрослые практически не сталкиваются с этим, что легко объяснимо.
Это заболевание развивается при значительном снижении иммунитета, что редко происходит у пожилых пациентов.
Кашель сильный, болезненный, неприятный. Достигает такой степени, что пациент может начать рвать от сильного рефлекса.
Корь
Существует еще одно воспалительное инфекционное заболевание, которое чаще всего наблюдается у детей и подростков в возрасте до 16 лет. Его симптомы могут напоминать длительный кашель, хотя это не всегда так. Степень проявления болезни во многом зависит от уровня заражения.
Сердечная недостаточность
Удивительно, но кашель может возникать из-за застоя в сердечной деятельности, что связано с растяжением желудочков сердца.
Это связано с нарушением обмена газов. Когда сердечная мышца работает не так, как нужно, кровь получает меньше кислорода.
Появляется одышка, которая приводит к пересыханию слизистой оболочки дыхательных путей. В результате появляется кашель, который не всегда является сильным.
Это лишь один из способов, как формируется рефлекс при сердечной недостаточности. Это сопровождается множеством дополнительных симптомов. Такой сухой кашель не пройдет, пока не будут устранены проблемы с сердцем.
Фарингит
Фарингит представляет собой воспалительный процесс, затрагивающий слизистую оболочку глотки и эпителиальные ткани.
Это неприятное состояние сопровождается такими симптомами, как боль в горле, трудности при глотании, сухой кашель и изменения в голосе (он может стать хриплым, сиплым или вовсе пропасть).
Хотя фарингит, как правило, не представляет серьезной угрозы для жизни, он может иметь определенные последствия.
Это инфекционное заболевание иногда приводит к распространению инфекции в нижние дыхательные пути, что может вызвать вторичные осложнения с легкими и бронхами.
Ларингит
Несмотря на сходство в названиях, ларингит не имеет ничего общего с фарингитом. Это воспаление гортани, которое сопровождается характерным лающим, забивающим и гулким кашлем.
Важно провести своевременное лечение, чтобы предотвратить возможные осложнения, такие как вторичная дыхательная недостаточность и удушье. Хотя летальный исход крайне редок.
Сухой кашель, который не проходит, может возникать по разным причинам, но факторов, приводящих к появлению мокрого кашля, еще больше.
Мокрый кашель
Развитие продуктивного кашля может быть вызвано различными факторами. Если кашель с выделением мокроты продолжается более месяца, это может указывать на наличие хронических заболеваний. К наиболее распространенным причинам относятся следующие состояния:
- Грипп и другие острые респираторные инфекции. Эти заболевания проявляются влажным кашлем с обильным выделением мокроты, одышкой и затруднением дыхания. Хотя грипп сам по себе не вызывает кашель, он может привести к вторичным воспалениям, таким как трахеит или бронхит.
- Бронхит. Это воспаление бронхов, которое сопровождается сильным кашлем, болями за грудиной, одышкой и возможными приступами удушья. Хотя бронхит редко приводит к летальному исходу, он может стать хроническим и вызывать длительный кашель.
- Пневмония. Воспаление легких, которое не всегда сопровождается влажным кашлем. Однако чаще всего оно связано с выделением мокроты и может принимать хроническую форму.
- Трахеит. Воспаление трахеи, которое проявляется сильным кашлем с мокротой и может длиться несколько недель.
- Бронхиальная астма. Это обструктивное заболевание, которое вызывает сужение бронхов и затруднения с дыханием. Проявляется приступами и может сопровождаться выделением слизистого экссудата.
- Туберкулез и рак легкого. Оба этих заболевания могут проявляться выделением кровянистой мокроты.
- Хроническая обструктивная болезнь легких (ХОБЛ). Чаще всего встречается у курильщиков и характеризуется разрушением бронхиального дерева, обструкцией и влажным кашлем.
- Рефлюкс-эзофагит. При недостаточной функции желудочного сфинктера кашель может беспокоить пациента.
- Бронхоэктатическая болезнь. Это состояние сопровождается выделением гнойного экссудата из альвеол, что проявляется гнойными включениями.
Иногда наблюдается сочетание нескольких заболеваний, что может усугублять их течение и накладываться друг на друга.
Кашель более месяца
Если кашель не исчезает в течение месяца или дольше, это может быть следствием развития различных заболеваний.
Чаще всего это связано с воспалением легких, бронхитом или астмой.
Эти состояния обычно длительные, трудно поддаются лечению и могут стать хроническими, что объясняет длительность кашля.
Однако, если астма вызвана аллергическими реакциями и связана с выработкой гистамина, проблему можно смягчить, исключив контакт с аллергеном.
Сопутствующие симптомы
Кашель, как правило, не выступает в роли самостоятельного симптома, за исключением некоторых заболеваний, упомянутых ранее.
Чаще всего он сопровождается следующими проявлениями:
- Боли за грудиной. Эти ощущения усиливаются при нажатии или попытках сделать глубокий вдох, что связано с воспалительным процессом.
- Одышка. Это состояние характеризуется увеличением частоты дыхательных движений в минуту. Одышка может усиливаться при физической активности, но иногда сохраняется и в состоянии покоя.
- Удушье. Это затруднение в дыхании, которое может привести к нарушению газообмена и дыхательной недостаточности. Без должного лечения существует риск серьезных последствий.
- Хрипы и свисты, которые слышны при дыхании.
Еще одним важным симптомом, который может проявляться при сильном кашле, туберкулезе или раке легких, является кровохаркание.
Пациент может откашливать кровь в виде прожилок или смешанную с мокротой. В таких случаях мокрота обычно имеет пенистую текстуру и розоватый оттенок.
Также могут наблюдаться симптомы со стороны желудочно-кишечного тракта, если кашель вызван рефлюксом или гастритом.
Методы диагностики
Проведение диагностических процедур является сложным процессом, который невозможно осуществить самостоятельно. Важно помнить, что самодиагностика не допускается, и для начала своевременного лечения необходимо обратиться к врачу.
Диагностику и лечение кашля с мокротой или сухим рефлексом должен проводить специалист. Обычно этим занимается пульмонолог, но в случае недоступности такого врача, рекомендуется начать с консультации терапевта.
Самым сложным является лечение влажного кашля, поэтому важно провести своевременную диагностику, чтобы не терять драгоценное время.
На первичном приеме врач проводит общий осмотр пациента, беседу и собирает анамнез. Затем начинаются специализированные исследования:
- Рентгенография грудной клетки.
- Бронхоскопия.
- Анализ мокроты и бактериологическое исследование.
- ФГДС.
- Анализ крови.
- Прослушивание легких и бронхов.
- Физикальное обследование.
Диагностика представляет определенные трудности, особенно в дифференциации различных заболеваний.
Общие принципы лечения
Что делать, если кашель не уходит? — Основные принципы терапии включают использование специализированных медикаментов.
- Если отсутствуют функциональные нарушения, следует подавить сам кашель. Для этого применяются специальные препараты, которые блокируют рефлекс как на центральном, так и на периферическом уровнях. Они воздействуют на определенные участки мозга и ресничный эпителий. Взрослые, страдающие от постоянного кашля, часто начинают самостоятельно принимать такие средства, что не всегда является правильным решением. Важно разобраться в ситуации.
- Аллергический кашель лечится с помощью бронхолитиков и антигистаминов, таких как Беродуал, Сальбутамол и другие.
- Воспалительные и инфекционные заболевания, включая туберкулез, требуют назначения антибиотиков, преимущественно фторхинолонов.
- В случаях, когда наблюдается дыхательная недостаточность, необходимо использование кортикостероидов, таких как Преднизолон.
Конкретные препараты должен подбирать только врач. В противном случае существует риск непредсказуемого течения болезни.
Кашель — это сложный и многогранный процесс, возникающий у людей по различным причинам. Из-за множества факторов, способствующих возникновению этой проблемы, диагностика становится непростой задачей. Важно вовремя начать правильное лечение для достижения наилучшего прогноза.
Профилактика кашля и поддержание здоровья дыхательных путей
Профилактика кашля и поддержание здоровья дыхательных путей играют ключевую роль в общем состоянии здоровья человека. Кашель может быть симптомом различных заболеваний, и его длительное течение может указывать на наличие серьезных проблем. Поэтому важно не только лечить кашель, но и предпринимать меры для его предотвращения.
Одним из основных аспектов профилактики является поддержание чистоты воздуха в помещениях. Загрязненный воздух, содержащий пыль, аллергены и химические вещества, может вызывать раздражение дыхательных путей и способствовать развитию кашля. Регулярная уборка, использование воздухоочистителей и поддержание оптимальной влажности в помещении помогут создать более комфортные условия для дыхания.
Кроме того, важно избегать курения и пассивного курения, так как табачный дым является одним из самых сильных раздражителей для дыхательных путей. Если вы курите, стоит рассмотреть возможность отказа от этой привычки, а также избегать мест, где курят другие люди.
Забота о здоровье дыхательных путей также включает в себя регулярные физические нагрузки. Умеренная физическая активность способствует улучшению вентиляции легких и укреплению дыхательной мускулатуры. Прогулки на свежем воздухе, занятия спортом или даже простые дыхательные упражнения могут значительно улучшить состояние дыхательной системы.
Правильное питание также играет важную роль в поддержании здоровья дыхательных путей. Употребление достаточного количества витаминов и минералов, особенно витамина C и антиоксидантов, может помочь укрепить иммунную систему и снизить риск инфекций, которые могут вызывать кашель. Включение в рацион свежих фруктов, овощей, орехов и цельнозерновых продуктов будет способствовать общему укреплению организма.
Не менее важным аспектом является своевременная вакцинация. Прививки против гриппа и пневмококковой инфекции могут существенно снизить риск развития заболеваний, которые могут проявляться кашлем. Особенно это актуально для людей с хроническими заболеваниями легких или ослабленным иммунитетом.
Наконец, регулярные медицинские осмотры и консультации с врачом помогут выявить возможные проблемы на ранних стадиях. Если кашель не проходит в течение длительного времени, важно обратиться к специалисту для диагностики и назначения адекватного лечения. Профилактика и своевременное обращение за медицинской помощью могут значительно снизить риск осложнений и улучшить качество жизни.
Вопрос-ответ
Что нужно делать, если кашель не проходит?
При возникновении кашля, который не проходит более двух недель, необходимо обратиться в клинику и пройти комплексный осмотр, провести бронхоскопию и сдать анализы на онкомаркеры. Allergический кашель.
Что хорошо помогает от длительного кашля?
От длительного кашля хорошо помогают ингаляции с физиологическим раствором или эфирными маслами, теплые напитки с медом и лимоном, а также отхаркивающие средства на основе трав (например, мать-и-мачеха или череда). Важно также увлажнять воздух и избегать раздражителей, таких как дым и пыль. Если кашель не проходит, стоит обратиться к врачу для диагностики и назначения лечения.
Как называется болезнь, когда кашель не проходит?
Бронхиальная астма. В 30% случаев симптом вызван кашлевым вариантом астмы. Этот вид астмы не сопровождается ее классическими признаками — одышкой, приступами удушья, свистящим дыханием. Основной симптом — частый, сухой или с небольшим количеством мокроты, длительно непроходящий кашель.
Советы
СОВЕТ №1
Обратитесь к врачу для диагностики. Если кашель не проходит более трех недель, это может быть признаком серьезного заболевания. Специалист проведет необходимые обследования и назначит правильное лечение.
СОВЕТ №2
Увлажняйте воздух в помещении. Сухой воздух может усугубить кашель. Используйте увлажнители или просто ставьте емкости с водой рядом с обогревателями, чтобы поддерживать оптимальный уровень влажности.
СОВЕТ №3
Пейте много жидкости. Теплые напитки, такие как чай с медом или бульон, могут помочь смягчить горло и уменьшить раздражение, что способствует облегчению кашля.
СОВЕТ №4
Избегайте раздражителей. Курение, пыль, сильные запахи и химические вещества могут усугубить кашель. Постарайтесь минимизировать контакт с этими факторами, чтобы облегчить свое состояние.






